?>

Case of the Month

Clinical findings

  • An apparently normal 18 years old male presented with the chief complaint of swelling in his upper front teeth region for one month

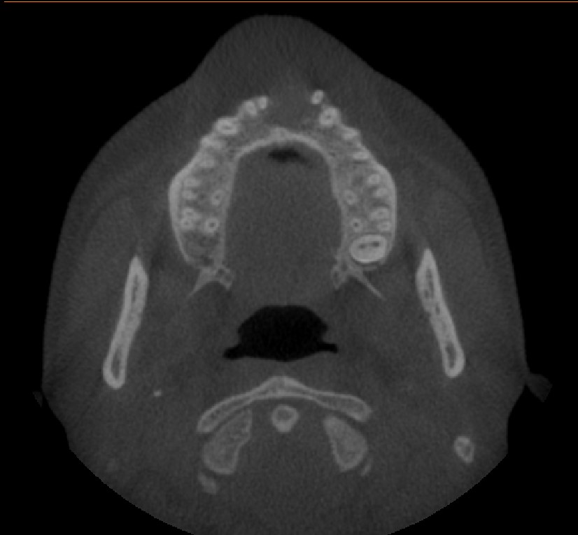
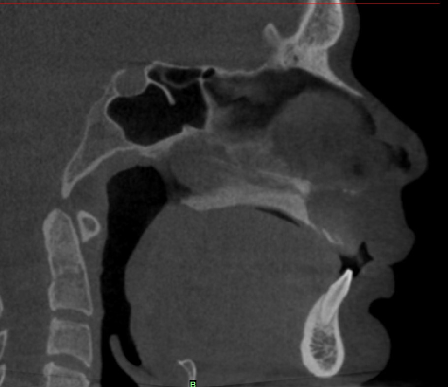
Radiological findings

  • CBCT showing well defined unilocular radiolucency with cortical destruction present in anterior maxilla  

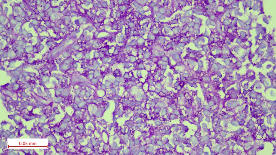
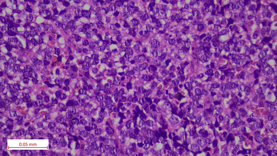
Histopathological findings

  • Tumor cells showed a round to oval nucleus with inconspicuous nucleoli, scant eosinophilic to clear cytoplasm (PAS positive) and indistinct cytoplasmic borders. In few areas, tumor cells showed hyperchromatic angulated nuclei

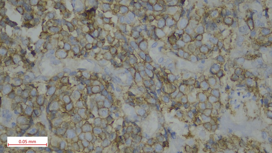
Immunohistochemical findings

  • Tumor cells showed diffuse membranous immunopositivity for CD99

Final diagnosis

  • Ewing’s sarcoma
Become a Member