Case of the Month

Clinical Details

  • Two years and eight months old male presented with swelling in left zygoma region for two months
  • Patient had history of fever, five months ago which lasts for three days
  • Extra-oral examination revealed diffuse non-tender, non-compressible and non-fluctuant swelling of size approximately 2x1x1 cm in left zygoma

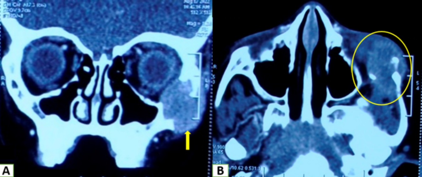
Radiographical Details

  • Coronal and axial views are displaying a lytic expansile lesion involving the body of left zygoma and adjacent anterior zygomatic arch with cortical destruction. 

Macroscopic Gross Details

  • Two irregular brownish soft tissues (measuring 2.0x1.5x0.6 cm)

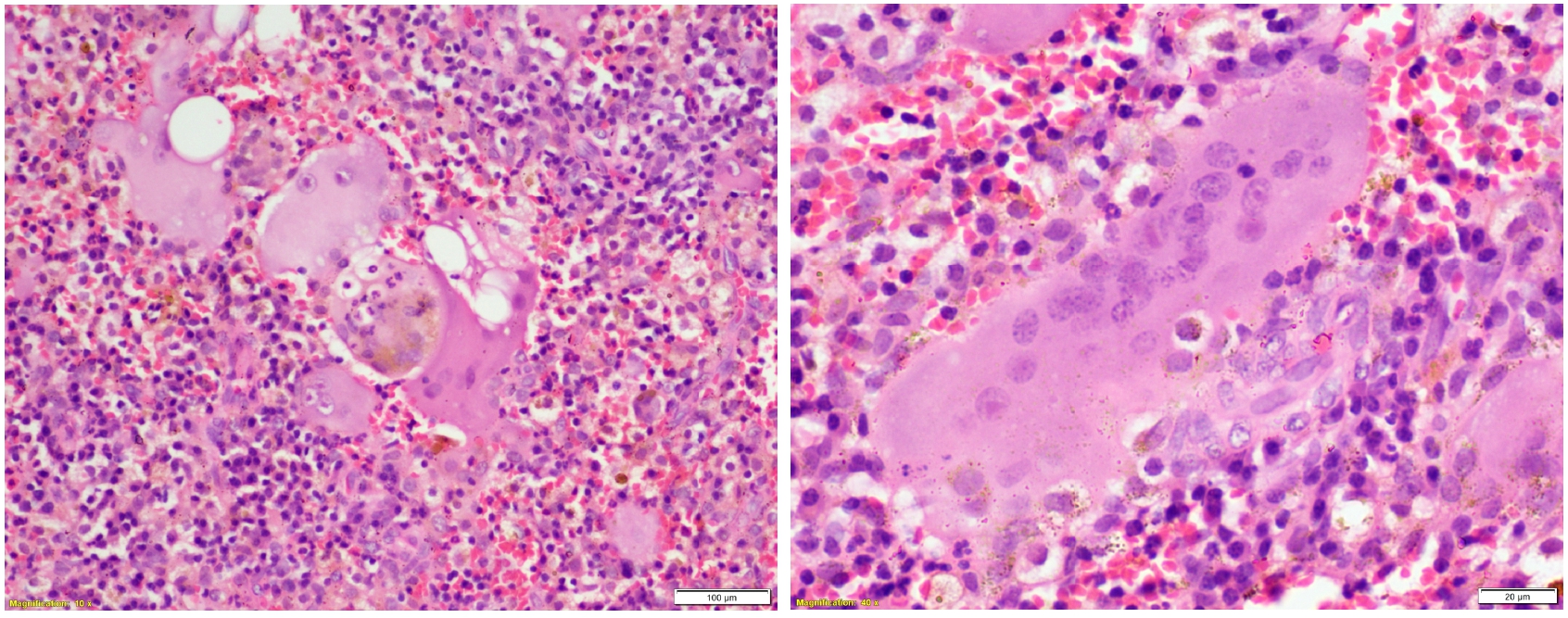
Microscopic Details

  • Sheets of large multinucleated histiocytes (8 to 10 nuclei/cell)
  • Giant cells showing emperipolesis and brown pigments within the cells
  • Focal area of fibrosis

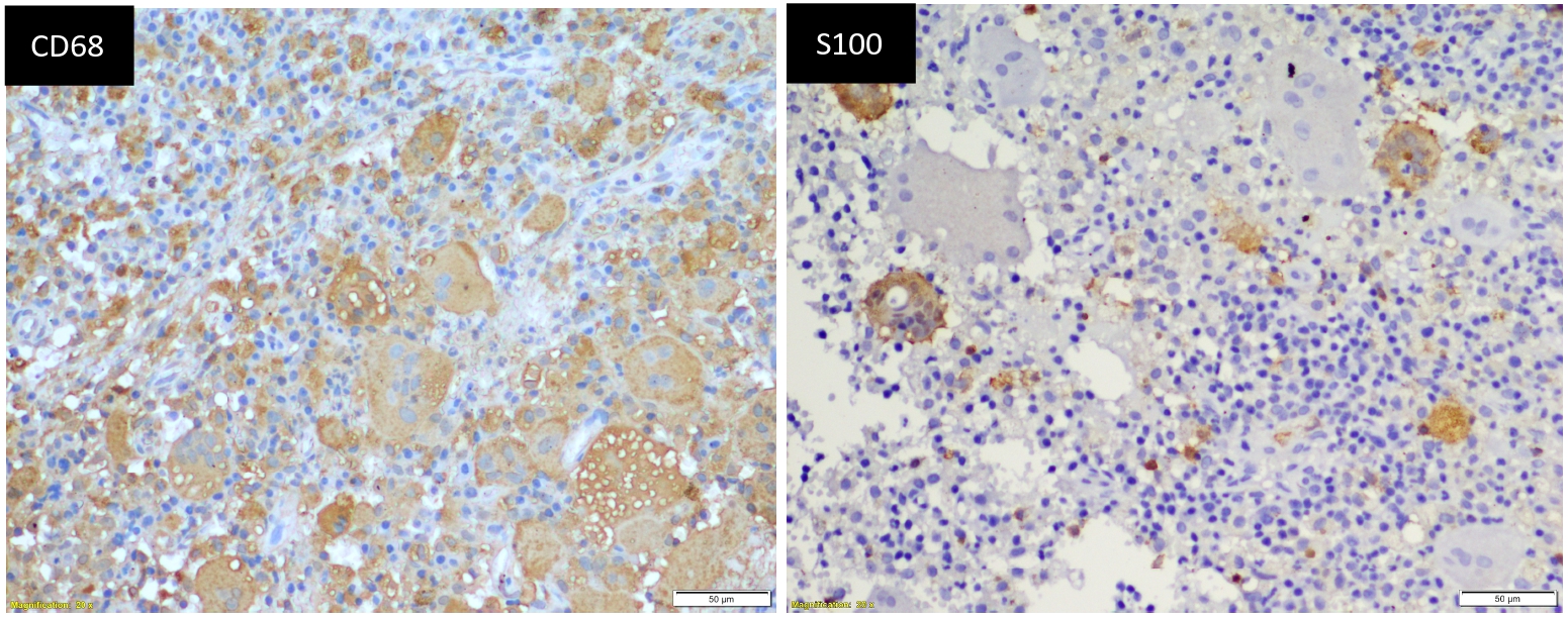
Immunohistochemical Details

  • Multinucleated histiocytes showing immunopositivity for S100, CD68 and immunonegativity for CD1a. 

Final Diagnosis

  • Extranodal Rosai Dorfman disease of zygoma

Review of Literature

  • Rare histiocytic disorder 
  • Usually presents as a painless lymph node adenopathy in adolescents and young adults
  • Extranodal RDD most commonly involve the orbit, eyelid, upper respiratory tract, salivary gland, skin, bone, and testes. Bone involvement is rare (<10%)
  • Approximately 22% cases of extranodal RDD has been reported in head and neck with nasal cavity and paranasal sinuses being the most frequently involved sites (~11%) in the pediatric population
  • Microscopically, sheets of large histiocytes sometimes show multinucleation similar to our case. These cells show emperipolesis which is a non-destructive phagocytosis of lymphocytes and erythrocytes, which is the hallmark of the disease and is diagnostically helpful finding but not specific to RDD
Become a Member