Greetings & Welcome
Oral Pathology, Microbiology and Forensic Odontology is a branch of dentistry which deals with the study and diagnosis of various oral abnormalities, immunology, microbiology, treatment and also prevention of diseases occurring in oral and maxillofacial region. The scope of the subject is not only limited to the diagnosis of pathologies but also it covers a commendable portion of forensic analysis like personnel identification, bite mark analysis, age estimation and sex determination, etc. It encompasses Oral & Dental Anatomy, Oral Histology & Oral Embryology, Oral Pathology, Microbiology & Forensic Odontology. The branch of oral pathology was started in India way back in the 1950s, with post-graduation in the 1960s. Of all the dental specialties, oral pathology is the foundation subject on which the science of dentistry stands, and this branch is unique in many aspects. It is the only branch of dentistry representing the confluence of basic sciences and clinical dentistry.
Mentors and Advisors
Dr. Venkateswaran K. Iyer
Professor and head, Pathology AIIMS 
 
Our Staff
Dr Deepika Mishra, MDS
Additional Professor
Dr Varun Surya, MDS
Assistant Professor 
Services/Facilities
Oral & Maxillofacial Pathology Clinic
- Out Patient Department (OPD)
- Specialized Clinic
- Follow-up Clinic
Non-invasive diagnostic techniques
- Light based oral cancer detection
- Orascan
- Autofluorescence and florescence spectrophotometry
- Vital Staining
- Toluidine blue
- Fluorescein dye
- Sialometry
Haematology
- Complete Blood Count (CBC)
- Bleeding Time (BT)
- Clotting Time (CT)
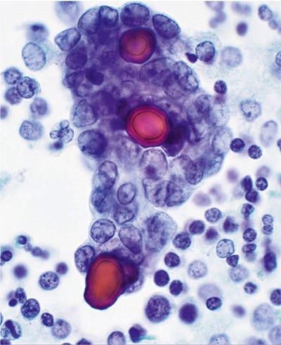
Cytopathology
- Exfoliative Cytology (EC)
- Imprint Cytology
- Fine Needle Aspiration Cytology (FNAC)
- Cell block preparation
- KOH mount
- Special staining
Biopsy
- Brush Biopsy
- Punch Biopsy
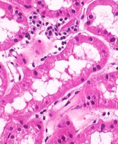
Histopathology
- Routine Staining (H & E)
- Special Staining (PAS, GMS, ZN, Alcian Blue, Masson’s Trichrome)
Frozen Section reporting
- Intraoperative reporting
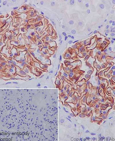
Immunohistochemistry (IHC)
- Diagnostic immunohistochemistry
- Research immunohistochemistry
Molecular Analysis
- Fluorescent In-situ Hybridization (FISH)
- In-situ Hybridization (ISH)
Forensic odontology
- Age Estimation
Department Statistics
 
Past Events
XX IAOMP National PG convention 2023
Hosted by: Division of Oral Pathology, Microbiology & Forensic Odontology, Centre For Dental Education & Research (CDER), All India Institute of Medical Sciences (AIIMS), New Delhi.
